Los hechos sucedieron en Paraguay, donde según medios locales, la niña de apenas dos años de edad se tragó una pila y esta explotó dentro de su estómago, por lo que fue trasladada de emergencia al hospital. Al llegar a un nosocomio de la ciudad de Horqueta, se le hizo una ecografía mediante la cual los doctores se percataron del daño que le causó dicha explosión.
Fueron graves quemaduras en el esófago de la pequeña lo que destacó del reporte médico. Además, la niña fue sometida a una endoscopia para poder extraer la pila que se encontraba en el área digestiva de la paciente. Tras la extracción de la misma, la menor fue canalizada en otro hospital donde tuvo que permanecer en terapia intensiva por unos días, actualmente su salud se encuentra estable y fue trasladada a otro piso.
Te puede interesar: Niña que había sido declarada muerta revivió durante su funeral
¿Cómo una niña logró tragarse una pila?
Ni las autoridades, ni los doctores, ni los padres han dado declaraciones sobre las circunstancias en la que la pequeña ingirió la pila, sino que se dieron cuenta de la acción e inmediatamente la llevaron a un centro médico para que esta fuera retirada. Sin embargo, la explosión sucedió rápidamente y causó las afecciones antes mencionadas en el estómago y el esófago de la niña.
No es el primer caso, una pequeña duró hasta un mes con una moneda
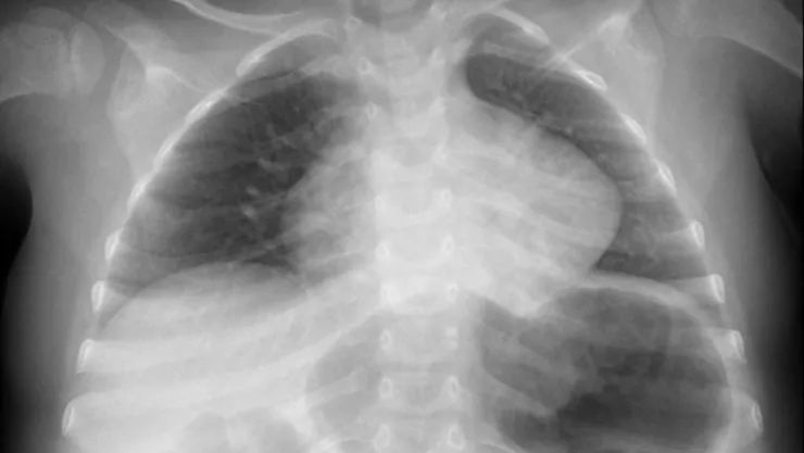
Este no es el primer caso donde un menor es internado por ingerir objetos innecesarios, pues en Bulgaría, médicos le salvaron la vida a una niña de tres años que llevaba más de un mes con una moneda en el esófago. Los padres llevaron a la menor al doctor por fiebre, sin embargo, fue una radiografía la que reveló que tenía una moneda en el esófago, pero nunca presentó dificultades para comer, tomar agua y respirar.
Tras los hechos, científicos y médicos comenzaron investigaciones y publicaron un escrito científico donde se aconsejaba a los padres que tuvieran cuidado cuando sus niños estuvieran jugando con objetos pequeños, como puede ser una moneda, frijoles, pilas, etc.
Te puede interesar: Video: Niña cae por ventana de vehículo y la dejan en plena carretera
